Cystic Lung Disease

Cystic Lung Disease - Advanced Diagnosis & Expert Care

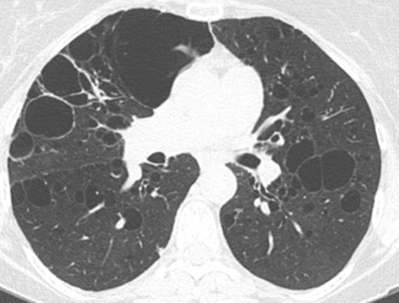
Cystic Lung Disease refers to a group of lung conditions where multiple air-filled sacs (cysts) develop inside the lungs, causing breathing difficulties, recurrent infections, and reduced lung function. Early diagnosis and specialized treatment are essential to prevent long-term complications.

At our center, we provide comprehensive evaluation, advanced imaging, and personalized treatment plans to ensure the best outcomes for every patient.

Symptoms We Evaluate

  • Shortness of breath
  • Chronic cough
  • Repeated lung infections
  • Chest pain
  • Fatigue and reduced stamina

Conditions We Diagnose & Treat

  • Lymphangioleiomyomatosis (LAM)
  • Pulmonary Langerhans Cell Histiocytosis
  • Birt-Hogg-Dubé Syndrome
  • Post-infectious cystic lung changes
  • Emphysema-related cysts
  • Congenital cystic lung diseases

Our Diagnostic Services

  • High-resolution CT (HRCT) chest
  • Pulmonary Function Tests (PFT)
  • Bronchoscopy
  • Blood investigations and genetic testing
  • Expert radiology evaluation

Treatment Approach

  • Medication to control symptoms and slow disease progression
  • Oxygen therapy (if needed)
  • Treatment for infections and complications
  • Smoking cessation guidance
  • Pulmonary rehabilitation
  • Long-term monitoring and follow-up care

Why Choose Us for Cystic Lung Disease?

  • Experienced pulmonologist
  • Accurate diagnosis with high-end imaging
  • Evidence-based treatment
  • Long-term and preventive care
  • Patient-focused approach